※본 포스팅은 의료법 제56조 1항과 2항 의료광고에 대한 법률을 준수하여 광고가 아닌 정보 제공을 위해 작성되었습니다※
안녕하세요, 와우성형외과 조종제 대표원장입니다. 이전 포스팅에서 중년 눈성형의 상안검과 하안검을 소개해드린적이 있는데요. 불룩하고 처진 눈밑을 개선하는 중년눈밑수술로는 하안검이 대표적이지만 눈꺼풀의 처짐을 개선하는 방법이 상안검만 있는 것은 아닙니다. 눈썹거상 역시 대표적인 중년 눈수술의 한가지인데요. 오늘은 눈썹거상과 하안검 전후사진을 보며 눈썹거상에 대해 자세히 알아보겠습니다.

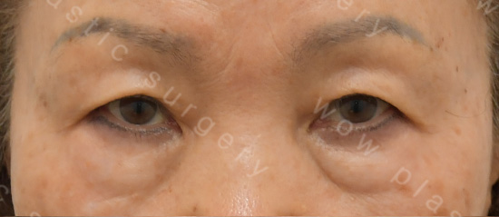
수술 전 – 2025.08.18. 촬영
눈썹거상은 눈썹의 윗부분 혹은 아랫부분을 절개해 처진 피부를 끌어당기는 수술입니다. 절개가 들어가는 부위에 따라 눈썹상거상 혹은 눈썹하거상으로 나뉘기도 합니다만 절개가 어디로 들어가는지와 관계없이 모두 눈 처짐을 개선하는 수술이라고 할 수 있습니다.
눈썹거상은 다른 거상 수술과 마찬가지로 처진 눈꺼풀 피부를 위쪽으로 당긴 후 고정하는 과정을 거치게 됩니다. 이때 늘어진 피부의 일부를 절제한 후, 피부와 근육조직을 당겨 이마근육 하단에 고정하게 되는데요. 이로 인해 처진 눈꺼풀을 개선하면서 불필요하게 두툼해진 눈꺼풀을 원래의 두께로 개선하게 됩니다.
눈썹거상과 상안검은 절개부위와 수술 방법이 다른 완전한 별개의 수술인데요. 상안검은 쌍꺼풀 라인이 위치할 수 있는 쪽을 절개해 늘어진 피부 조직과 불필요한 지방을 제거하고, 눈 뜨는 근육의 힘을 조절해 마무리하게 되지만, 눈썹거상은 앞에서 말씀드린 바와 같이 눈썹쪽을 절개해 피부와 근육을 당겨주는 수술입니다.

수술 전 – 2025.08.18. 촬영
단순한 절개부위의 차이인 것 같지만 두 수술은 눈꺼풀 처짐을 개선하면서 각기 다른 결과를 만들게 되는데요. 상안검 수술이 부수적인 효과로 쌍꺼풀 라인을 만들 수 있다면, 눈썹거상은 쌍꺼풀 라인을 새로 만들지는 못합니다. 때문에 쌍꺼풀이 없는 분이 눈처짐 개선과 함께 쌍꺼풀을 만들고 싶은 경우라면 상안검 수술을, 쌍꺼풀 라인에 변화를 원치 않거나 새롭게 쌍꺼풀을 만들고 싶지 않은 경우라면 눈썹거상 수술을 추천드립니다. 다만 원래 쌍꺼풀이 있었지만 눈꺼풀이 처지고 늘어지면서 라인이 가려진 경우였다면, 눈썹거상 수술 후 원래의 쌍꺼풀 라인이 다시 노출되는 효과를 볼 수 있습니다.
눈과 눈썹 사이의 거리 역시 상안검과 눈썹거상을 가르는 중요한 요소 중 하나입니다. 눈과 눈썹 사이에 충분한 거리가 확보되지 않는 경우라면 눈썹거상이 아닌 상안검이 더 적합하다고 할 수 있습니다. 이건 거상의 수술법이 피부를 절제하면서 당겨주는 방식이기 때문인데요. 만약 눈과 눈썹 사이의 거리가 충분하지 않은 분이 눈썹거상을 하게 된다면 수술 후 눈뜨는 것이 불편해지고 눈매가 부자연스러워지는 부작용이 발생할 수 있습니다.

수술 전(위) – 2025.08.18. 촬영
수술 후(아래) – 2025.11.24. 촬영
쌍꺼풀 라인을 절개하는 상안검과 다르게 눈썹거상은 숨겨지지 않는 피부 표면으로 절개가 들어가다보니 ‘수술 후 수술자국이나 흉터가 티나지 않을까’를 걱정하시는 분들도 많습니다. 하지만 위의 사진에서 보이는 것처럼 눈썹부위를 절개한다고 해서 수술자국이나 흉터가 심하게 남지는 않습니다. 피부 상태에 따라 상대적으로 흉터가 도드라져 보일 수 있으나 시간이 지나 절개부위가 아물면서 자연스러워지게 되며, 위의 사진처럼 자연스럽자 아무는 것이 일반적입니다.
눈 위아래로 처짐과 늘어짐이 심한 경우라면 눈썹거상 또는 상안검과 함께 하안검 수술을 병행하는 것도 좋습니다. 하안검은 아래쪽 눈꺼풀의 속눈썹 부근을 절개해 불필요한 지방과 피부 조직을 제거하고 눈밑 탄력을 되살리는 수술인데요. 늘어져있는 근육을 뼈막에 고정하고, 아래쪽 눈꺼풀 조직을 외안각 골막 부위에 고정하기 때문에 눈 아래쪽을 깔끔하고 평평하게 개선할 수 있는 것이 특징입니다.
하안검 수술 시에는 눈꺼풀 조직을 골막에 고정하는 외안각고정술이 반드시 필요한데요. 이 과정이 진행되지 않으면 아래쪽 눈꺼풀이 바깥쪽으로 뒤집어지는 ‘안검외반’과 같은 부작용이 발생할 수 있기 때문입니다. 이외에도 눈 꺼짐, 과도한 피부 당김 등의 부작용이 나타나지 않도록 제거하는 지방의 양을 정확하게 설정하고 근육조직의 손상 없이 고정해줄 수 있어야 하는데요. 이를 위해서는 다양한 케이스에 대한 수술 경험과 임상지식이 풍부한 전문의와의 충분한 상담 후 수술을 진행하는 것이 좋습니다.
간혹 상안검 혹은 눈썹거상과 하안검을 병행하면 회복기간이 더욱 오래 걸리고 일상생활에 불편함이 가중되지는 않을지 걱정하시는 분들도 있습니다. 하지만 두가지 수술을 함께 진행한다고 해서 회복기간이 더 늘어나지는 않으며, 수술 후 일주일 정도 후에는 일상생활에 큰 지장을 주지 않습니다.
안검 성형은 단순히 늘어진 피부를 제거하는 수술이 아니라 눈 주변의 해부학적 구조와 개인의 눈매 특성을 종합적으로 판단하는 섬세한 노하우가 필요한 수술입니다. 특히 눈썹거상과 상안검, 하안검은 각각의 수술 결과와 개선하고자 하는 부분에 대한 초점이 뚜렷이 다르기 때문에 무엇보다도 정확한 진단이 필요합니다. 충분한 사전 진찰과 근거 기반의 상담을 통해 수술 계획을 세우고 싶으신 분들이라면 반드시 병원을 찾아 상담받아보시기 바랍니다. 감사합니다.
※본 포스팅은 의료법 준수를 위해 2024년 12월 30일 보건복지부에서 배포한 <유형별 의료광고 사례 및 체크리스트 2판>을 참고하여 작성 되었습니다※